新闻动态
News
行业新闻

香精与香料(47)—香芹酮与葛缕子、留兰香、莳萝

2022年03月05日中外香料香精第一资讯浏览量:0

CAS号: 99-49-0

英文名称: CARVONE

英文同义词:Karvon;CARVONE;NSC6275;DL-carvone;NCI-C55867;Limonen-6-one; CARVONE USP/EP/BP;L-CARVONE, NATURAL; p-Mentha-1,8-dien-6-one

中文名称: 香芹酮

中文同义词: 香芹酮;葛缕酮;葛缕子酮;L-香芹酮;香芹酮标准品;香旱芹子油萜酮;香芹酮/D-香芹酮/右旋香芹酮;对-薄荷-6,8-二烯-2-酮;2-甲基-5-异丙烯基-2-环己烯酮;1-甲基-4-异丙烯-6-环己烯-2-酮

CBNumber: CB0773601

fema number: 2249

分子式: C10H14O

分子量: 150.22

香精与香料(47)—香芹酮与葛缕子、留兰香、莳萝

香芹酮(R/S)

香芹酮化学性质

熔点: 230℃

沸点: 232℃(760.0 Torr)

密度: 0.963g/cm3(15℃)

折射率: 1.710

FEMA: 2249|CARVONE

储存条件: Sealed in dry, 2-8°C

JECFANumber: 380

CAS数据库: 99-49-0

EPA化学物质信息: 2-Cyclohexen-1-one,2-methyl-5-(1-methylethenyl)-(99-49-0)

化学性质

无色至淡黄色液体。沸点230℃,104℃(1,46 kPa),相对密度0 fun88乐天堂官网是什么,9608(20/4℃),折光率1,4988。不溶于水,溶于乙醇、乙醚、氯仿。具有葛缕子和莳罗油的香气。在空气中易氧化。。

用途

L-香芹酮是薄荷油的主要成分,且合成方法制取的香芹酮,也与天然薄荷油一起使用,主要用于食品如口香糖等,薄荷油(L-香芹酮)和薄荷糖(L-薄荷醇)是橡皮糖调合香料的主要原料,也用于医药,作泥敷剂,口腔清凉剂的调味香料,以及牙膏等的调合香料 乐天堂fun88靠谱吗

生产方法

香芹酮存在于薄荷油,蒿子油,莳罗油中,从这类油分馏得到的精油,与Na2SO3溶液一起振摇,分离生成的二磺酸盐,用氢氧化钠分解,即生成香芹酮,或将精油溶于氨的乙醇溶液中,通入H2S,生成加成物,将其与碱一起加热,分离出香芹酮,另一种制法是以烯为原料,与亚硝酰氯及盐酸反应,或与亚硝酸戊酯(或亚硝酸乙酯)及盐酸反应,生成亚硝基氯化物 fun88乐天堂,将其用CH3ONa或氢氧化钾乙醇溶液或吡啶或尿素等处理,脱去盐酸,生成香芹酮肟,然后将香芹酮肟用稀硫酸水解,即得香芹酮。

含量分析

按GT-10-4中用非极性柱方法测定。

毒性数据

刺激数据:皮肤-兔 500 毫克/24小时 轻度

Adl 0~1.0mg/kg(FAO/WHO,1994)。

GRAS(FDA§182.60,2000)。

LD50 3710 mg/kg(大鼠,经口)。

环保数据

可燃性危险特性:热分解辛辣刺激烟雾

类别:有毒物质

灭火剂:水,二氧化碳,泡沫,干粉

对水是稍微有害的,不要让未稀释或大量的产品接触地下水,水道或者污水系统,若无政府许可 fun88乐天堂官网是什么,勿将材料排入周围环境。

使用限量

FEMA(mg/kg):软饮料850,冷饮120,糖果180,焙烤食品110 乐天堂fun88靠谱吗,酒类130。

适度为限(FDA§182.60,2000)。

包装储运

包装规格:180KG/200KG内喷涂铁桶包装。

储存方式:密封储于阴凉,干燥处 乐天堂FUN88,密封充氮保存,一经使用,尽快用完,剩余部分仍要充氮。

香芹酮的特性

香芹酮,又称藏茴香酮 fun88乐天堂官网,最早是在藏茴香中发现这个成分,后来发现它有左旋,右旋两种异构物,长相几乎一样,但是气味却差异很大,就像双胞胎看起来几乎同个模样,确有不同内涵和性格,两者都是糖果,糕饼业所喜爱的香料,是较安全的分子,无刺激性,肝毒性低,不过它的单萜酮特性是会对神经系统有影响,所以孕妇,婴幼儿不建议使用。

表1 香芹酮的分类

中文名称右旋香芹酮左旋香芹酮
英文名称(S)(+)-Carvone(R)(-)-Carvone
精油来源藏茴香、莳萝籽绿薄荷
气味描述香料的气味较沉些像是薄荷口香糖的香气,却没有凉味
芳疗功效增加食欲、促进消化(胆汁分泌)、消胀气消除异味、保持口气清新、促进消化(胆汁分泌)、提神醒脑
心灵功效增强自我控制力增强理性能力
注意事项孕妇、婴幼儿禁用

香芹酮(英语:Carvone)是一种单萜类有机化合物,分子式为C10H14O,香芹酮是许多精油中的天然产物,但在葛缕子(Carum carvi),留兰香(Mentha spicata) fun88乐天堂官网是什么,莳萝(Anethum graveolens)的种子油中含量最丰富。

香精与香料(47)—香芹酮与葛缕子、留兰香、莳萝

别名2-Methyl-5-(prop-1-en-2-yl)cyclohex-2-enone
2-Methyl-5-(1-methylethenyl)-2-cyclohexenone
Δ6:8(9)-p-Menthadien-2-one
1-Methyl-4-isopropenyl-Δ6-cyclohexen-2-one
Carvol (obsolete)
CAS号99-49-0((R/S))
6485-40-1((R))
2244-16-8((S))
PubChem7439
ChemSpider21106424(R/S),15855(S),388655(R)
InChI显示▼
InChIKeyULDHMXUKGWMISQ-UHFFFAOYAB
ChEBI38265
RTECSOS8650000 (R)
OS8670000 (S)
KEGGC01767
性质
化学式C10H14O
摩尔质量150.22 g/mol g·mol⁻¹
外观Clear, colorless liquid
密度0.96 g/cm3
熔点25.2°C(298K)
沸点231°C(504K)
溶解性(水)Insoluble (cold)
Slightly soluble (hot)/soluble in trace amounts
溶解性(ethanol)Soluble
溶解性(diethyl ether)Soluble
溶解性(chloroform)Soluble
[α]20
D
−61° (R)-Carvone
61° (S)-Carvone
磁化率−92.2×10−6cm3/mol

全球香芹酮市场较为集中 2021-2025年国内企业提升空间较大

香芹酮是一个非常重要的酮类香料,其存在一对对映体,其中R构型为留兰香油的主要成分,S构型是葛缕子油的主要成分,两个构型具有明显不同的香气特征 fun88乐天堂,根据来源不同,香芹酮可分为天然香芹酮和合成香芹酮两大类,受提取成本,原材料有限等因素影响,目前市场上的香芹酮产品多为合成香芹酮,合成香芹酮多呈无色至淡黄色液体,不溶于水和甘油,溶于乙醇,乙醚,氯仿,在空气中易氧化。

香精与香料(47)—香芹酮与葛缕子、留兰香、莳萝

近年来,随着香精香料市场快速发展,以及下游市场需求不断释放,全球香芹酮市场规模逐渐扩张,2019年,全球香芹酮市场规模达到3亿元以上,香芹酮是口香糖,橡皮糖,牙膏,口腔清凉剂等产品的主要原料,作为一种香料原料,香芹酮下游应用领域广泛,涉及到食品及食品添加剂 乐天堂FUN88,医药及中间体,日化工品,农业,日用香料以及饲料等多个领域。

香芹酮可分为L-香芹酮和D-香芹酮两大类。香芹酮合成工艺技术壁垒较高,头部企业凭借先进技术、优良品质以及品牌效应等优势在全球香芹酮市场的话语权较高。全球范围内,香芹酮市场主要集中在北美、西欧、韩国、日本等国家和地区,主要生产企业包括朗盛集团、Gem Aromatics公司、奇华顿、芬美意、Shree Bankey Behari Lal Aromatics公司等。伴随新兴经济体快速发展,亚洲以及南美地区的新兴国家对香芹酮的需求不断增长,其中中国、印度等国家需求强盛。

从国内市场来看,我国香芹酮相关生产企业包括万香集团、广州百花香料、华业香料、天美生物等,与国际知名企业相比,我国香芹酮生产企业在资金实力、产业规模、产品质量以及品牌建设等方面仍存在一定差距,整体来看,我国香芹酮市场提升空间广阔。近年来,随着国内企业研发实力增强,我国香芹酮合成技术得到较大突破,未来高端香芹酮有望逐步实现国产替代。

香芹酮的合成方法

香芹酮(Carvone)学名为1-甲基4-异丙烯基-6-环己烯-2-酮,英文名:2-Methyl-5-isopropenyl-2-cyclohexen-1-one。香芹酮是留兰香的主要成份,具有浓烈的留兰香气息,香气清甜柔和、透发有力,广泛应用于牙膏、口香糖、胶姆糖以及其它糖类食品中,同时也常用于紫罗兰型、桂花型、茉莉型等香精中。在工业上还可作高效溶剂等。香芹酮现已成为大宗香料,其年产量在2000吨以上。

目前香芹酮主要有天然和合成两类。从天然精油中提取的香芹酮存在产量小、价格高的缺点,且受自然条件及季节的限制,满足不了日益扩大的市场需求。本世纪60年代末期,出现了以柠烯为原料合成香芹酮的生产工艺。其一是以柠烯与亚硝酰氯反应,再经酸化水解等处理,得到L-香芹酮,得率为30%-35% ;其二是以过氧乙酸为氧化剂使柠烯环氧化,环氧化物再在甲酸-沸石条件下转化成香芹酮,但该工艺尚未工业化生产。上述方法合成路线均较长、副产物多、分离困难、香芹酮得率较低,同时有许多废液需要处理;此外,所用的亚硝酰氯是一种剧毒物质,环境污染严重,过氧乙酸又是一种强氧化剂,热不稳定性及对设备的强腐蚀性均给生产带来不利影响。目前该产品只有美国和日本生产,是以桔子萜为起始原料,用先加成氯化物后再合成中间体香芹酮肪的方法生产的。该方法工艺复杂,总收率低,并且产生大量废水,(每吨产品约有10吨废水),废水毒性大,浓度高,(含有亚硝 基化合物,COD达500mg/L以上),不仅严重危害环境,而且生物法处理的细菌也难以存活。由于治理这种废水将影响到生产的经济效益和治理的可能性,故限制了该产品的发展。

一种香芹酮的合成方法(申请号 201010232407.9,申请人 浙江新化化工股份有限公司),其特征在于,以环氧柠烯为原料,以辛酸锌、2-氨基苯酚中的一种或两种为催化剂作用下,发生如下反应:

香精与香料(47)—香芹酮与葛缕子、留兰香、莳萝

其中,原料与催化剂2-氨基苯酚的摩尔比为60-100 : 1 ;原料与催化剂辛酸锌的摩尔比为60-115 : 1 ;反应温度为170-220°C,反应时间为4小时以上;得到香芹醇粗品,经蒸馏、精馏得香芹醇;

香芹醇在催化剂和溶剂的作用下,加热釜温至205-210℃,发生如下氧化反应,其中的催化剂为辛酸锌和2-氨基苯酚两种组成的混合物,溶剂为环己酮、苯乙酮或苯乙醇中的一种:

香精与香料(47)—香芹酮与葛缕子、留兰香、莳萝

其中,香芹醇与催化剂2-氨基苯酚、辛酸锌的摩尔比为100-130 : 0. 5-1 : 1;得到香芹酮粗品,经分馏后得到香芹酮成品。

香芹酮的药理活性

1、香芹酮及其药理活性:系统综述

香芹酮具有10种药理活性。香芹酮具有抗菌,抗痉挛,抗炎,抗氧化作用。香芹酮对神经系统有作用。香芹酮对肝脏代谢有影响。香芹酮是一种有希望的替代治疗几种病理条件。[1]

香精与香料(47)—香芹酮与葛缕子、留兰香、莳萝

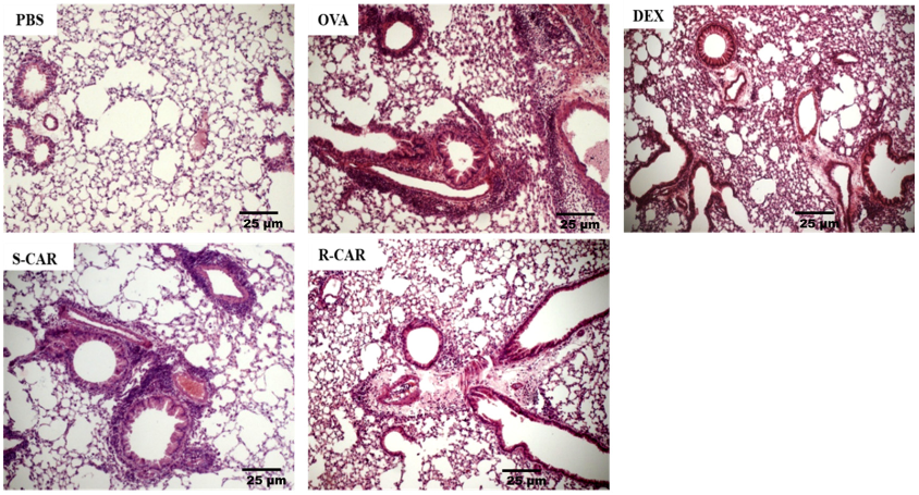
2、香芹酮对映体差异调节ige介导的小鼠气道炎症

香芹酮是一种在自然界中以对映体(S-和R-)形式存在的单萜。虽然已有研究证明香芹酮具有抗炎和抗过敏作用,但香芹酮对映体组成对其抗过敏活性的影响仍有待研究。本研究旨在观察香芹酮对映体对卵清蛋白致敏和激发诱导的气道过敏性炎症小鼠模型的抗过敏作用。每次刺激前1小时口服R-香芹酮或S-香芹酮可抑制支气管肺泡灌洗(BAL)中白细胞和嗜酸性粒细胞的数量。R-香芹酮抑制肺部白细胞浸润和粘液生成,这与血清中ova特异性IgE生成减少和BAL中IL-10浓度升高有关。另一方面,S-香芹酮对肺内炎症浸润和粘液产生的抑制作用不大,这可能与BAL中IFN-γ的产生增加有关。在每次致敏前1小时给药时,这两种对映体都抑制了嗜酸性粒细胞向BAL的招募,但未能降低过敏小鼠血清中IgE的效价。我们的数据表明香芹酮对映体差异调节ige介导的小鼠气道炎症。综上所述,与S-香芹酮不同,R-香芹酮具有开发抗过敏药物的潜力。[2]

香精与香料(47)—香芹酮与葛缕子、留兰香、莳萝

香芹酮对映体对gova致过敏性气道炎症后小鼠肺白细胞浸润的影响。最后一次攻毒24小时后,用10%福尔马林固定肺部,石蜡包埋并切片。组织切片用HE染色。ova致敏小鼠在每次刺激前1小时给予R-香芹酮(10 mg/Kg)、S-香芹酮(10 mg/Kg)或地塞米松(1 mg/Kg)或生理盐水(对照品)。这些分析是用400倍放大的光学显微镜进行的。每张显微照片代表了每组5只动物进行的两个独立实验。[2]

3、香芹酮的健康益处和药理特性

香芹酮是唇形科和菊科几种芳香和药用植物精油中所含的一种单萜酮。从芳香植物中,这种单萜的分泌浓度不同,取决于种类、使用的部位和提取方法。目前药理研究表明,香芹酮具有抗菌、抗真菌、抗寄生虫、抗神经氨酸酶、抗氧化、抗炎和抗癌等多种药理活性。这些研究是在体外和体内进行的,涉及大量关于作用机制的知识。事实上,香芹酮的抗菌作用与香芹酮对细胞膜的作用和超微结构的变化有关,而抗炎、抗糖尿病和抗癌作用则与细胞和分子靶点的作用有关,如诱导凋亡、自噬和衰老。香芹酮具有多种作用机制,可作为一种开发治疗药物的天然化合物。然而,关于其确切作用机制以及急性和慢性毒性的其他研究还需要验证其应用。因此,本文就香芹酮的药理特性及其作用机制的研究进展作一综述。此外,还建议进一步开展主要的药效学和药代动力学研究。[3]

香精与香料(47)—香芹酮与葛缕子、留兰香、莳萝

香芹酮的药理特性。香芹酮具有多种生物活性,包括抗糖尿病、抗炎、抗癌、神经系统、抗菌、抗寄生虫、抗关节炎、抗惊厥和免疫调节作用。[3]

香精与香料(47)—香芹酮与葛缕子、留兰香、莳萝

香芹酮的抗癌机制。香芹酮的抗癌作用主要有以下两种机制:(1)通过降低Bcl2和Bax的内在凋亡作用,以及释放细胞色素C诱导caspases表达和PARP裂解;(2)通过对周期素依赖性激酶1的作用将细胞周期阻滞在g2 /M。[3]

4、吸入香芹酮对小鼠上下文恐惧记忆的免疫调节作用

免疫系统、嗅觉系统和中枢神经系统之间存在着复杂的相互作用网络。吸入不同的香味可以影响对抗原的免疫反应,但也可能对中枢神经系统和认知活动有影响。我们对一系列化合物的免疫调节能力进行了探索性研究,这些化合物代表了前面描述的10种气味或气味簇。我们评估了每种特定气味对模型抗原卵清蛋白联合TLR3激动剂poly I:C免疫后免疫反应的影响。我们发现一些气味具有免疫刺激作用,而另一些气味可能被认为是潜在的免疫抑制气味。有趣的是,免疫调节能力,在某些情况下,菌株特异性。特别是其中一种芳香剂香芹酮,在BALB/c小鼠和C57BL/6J小鼠中被发现具有免疫刺激作用,在重组腺病毒感染模型中,香芹酮分别促进或损害病毒清除。重要的是,在恐惧条件反射实验中,吸入这种气味改善了BALB/c小鼠的记忆能力,而C57BL/6J小鼠的记忆能力却受到了损害。BALB/c的记忆能力的改善与更高的CD3+ T细胞浸润海马和增加的编码IL-1β, TNF-α和IL-6细胞因子的mRNA的局部表达有关。相反,C57BL/6的记忆障碍与CD3数量的减少和IFN-γ的增加有关。这些数据表明,气味的免疫调节能力与它们对动物认知功能的影响之间存在关联。这些结果突出了研究气味作为中枢神经系统相关疾病治疗剂的潜力。

香精与香料(47)—香芹酮与葛缕子、留兰香、莳萝

不同气味在C57BL/6小鼠体内的免疫调节能力。C57BL/6雌性小鼠(每组5只)接种卵清蛋白(OVA) + poly I:C。免疫后7天检测siinfokl肽(A)或OVA (B)特异性ifn - γ产生细胞,或siinfokl肽(C)特异性体内杀伤能力。(D)热图总结了暴露于指定化合物的小鼠与暴露于水蒸气的小鼠的相应免疫读数的折叠诱导。数据至少可以代表两个独立的实验。* P < 0.05。

参考文献

[1] Lícia T.S. Pina, Mairim R. Serafini, Marlange A. Oliveira, Laeza A. Sampaio, Juliana O. Guimarães, Adriana G. Guimarães,Carvone and its pharmacological activities: A systematic review, Phytochemistry,Volume 196,2022,113080,doi:10.1016/j.phytochem.2021.113080.

[2] Ribeiro-Filho, Jaime & Brandi, Juliana & Costa, Hermann & Medeiros, Karina & Leite, Jacqueline & Sousa, Damião & Piuvezam, Marcia. (2020). Carvone Enantiomers Differentially Modulate IgE-Mediated Airway Inflammation in Mice. International Journal of Molecular Sciences. 21. 9209. 10.3390/ijms21239209.

[3] Bouyahya, Abdelhakim & Mechchate, Hamza & Benali, Taoufiq & Ghchime, Rokia & Charfi, Saoulajan & Balahbib, Abdelaali & Burkov, Pavel & Mohammad, & Shariati, Mohammad Ali & Lorenzo, Jose M. & Nasreddine, & El Omari, Nasreddine. (2021). Health Benefits and Pharmacological Properties of Carvone. Biomolecules. 10.3390/biom11121803.

[4] Lasarte-Cia Aritz, Lozano Teresa, Pérez-González Marta, Gorraiz Marta, Iribarren Kristina, Hervás-Stubbs Sandra, Sarobe Pablo, Rabal Obdulia, Cuadrado-Tejedor Mar, García-Osta Ana, Casares Noelia, Lasarte Juan José.Immunomodulatory Properties of Carvone Inhalation and Its Effects on Contextual Fear Memory in Mice.Frontiers in Immunology,2018,9: DOI=10.3389/fimmu.2018.00068

服务热线

177-5061-9273

添加微信咨询

添加微信咨询