<kbd dir="09zjE"></kbd>
新闻动态
News
行业新闻

fun88乐天堂 - 香精与香料(135)—野胡萝卜(Daucus carota)

2022年06月01日中外香料香精第一资讯浏览量:0

野胡萝卜(学名:Daucus carota),又称 鹤虱草、南鹤虱,为伞形科胡萝卜属的植物,原产于欧洲和西南亚。胡萝卜(D fun88乐天堂, c,subsp, sativa)就是本种最常见的人工栽培亚种。。

香精与香料(135)—野胡萝卜(Daucus carota)

野胡萝卜(学名:Daucus carota L 乐天堂FUN88,)是伞形科、胡萝卜属二年生草本植物,高可达120厘米。茎单生,全体有白色粗硬毛。基生叶薄膜质,叶片长圆形,二至三回羽状全裂,末回裂片线形或披针形,顶端尖锐,有小尖头,茎生叶近无柄,有叶鞘,末回裂片小或细长。复伞形花序,花序梗有糙硬毛;总苞有多数苞片,呈叶状,羽状分裂,裂片线形,花通常白色,有时带淡红色;花柄不等长,果实圆卵形,5-7月开花。。

分布于中国四川,贵州,湖北,江西,安徽,江苏 fun88乐天堂官网,浙江等省,欧洲及东南亚地区也有分布,生长于山坡路旁,旷野或田间。

野胡萝卜的果实入药 fun88乐天堂官网是什么,有驱虫作用,又可提取芳香油。

形态特征

二年生草本,高15-120厘米。茎单生,全体有白色粗硬毛。基生叶薄膜质,长圆形,二至三回羽状全裂,末回裂片线形或披针形,长2-15毫米,宽0 乐天堂fun88靠谱吗,5-4毫米,顶端尖锐,有小尖头,光滑或有糙硬毛;叶柄长3-12厘米;茎生叶近无柄,有叶鞘,末回裂片小或细长。。

复伞形花序,花序梗长10-55厘米,有糙硬毛;总苞有多数苞片,呈叶状,羽状分裂,少有不裂的,裂片线形,长3-30毫米;伞辐多数,长2-7 fun88乐天堂,5厘米,结果时外缘的伞辐向内弯曲;小总苞片5-7,线形,不分裂或2-3裂,边缘膜质,具纤毛;花通常白色,有时带淡红色;花柄不等长,长3-10毫米。果实圆卵形,长3-4毫米,宽2毫米,棱上有白色刺毛。花期5-7月。。

香精与香料(135)—野胡萝卜(Daucus carota)

主要变种

该种与胡萝卜(Daucus carota L 乐天堂FUN88, var,sativa Hoffm,)区别在于,胡萝卜变种的根肉质,长圆锥形,粗肥,呈红色或黄色。。

生长环境

野胡萝卜抗寒,耐旱,喜微酸性至中性土壤,喜肥喜光,适生在肥沃潮湿的开旷地上,幼苗在零下38℃可安全越冬 fun88乐天堂官网

主要价值

药用:果实入药 fun88乐天堂官网是什么,有驱虫作用,又可提取芳香油。

【药用来源】以成熟果实入药,中药名:南鹤虱 乐天堂fun88靠谱吗

【主要成分】挥发油、黄酮类,糖,季铵生物碱,氨基酸,胡萝卜苦苷,甾醇。

【药理作用】对冠状动脉有扩张作用。

【性味功能】苦、辛,平,小毒。杀虫,消积,止痒。

【主治用法】用于蛔虫、蛲虫、绦虫病,虫积腹痛,小儿疳积。内服:煎汤,6-9克;或入丸、散。外用:适量,煎水熏洗。小儿虫病:鹤虱、川楝子、胡粉、枯白矾。

饲用:野胡萝卜可青饲、青贮和调制青干草,在其全生育期可随时刈割利用。

有关野胡萝卜的现代研究进展

1、  胡萝卜(Daucus carota L.)植物化学和药理研究进展

胡萝卜(Daucus carota L.)是印尼人公认的蔬菜。该植物种植简单,经济效益和社会效益好。因此,了解植物化学物质及其药理作用是十分必要的。信息搜索通过谷歌Scholar进行。结果表明,胡萝卜富含维生素(A、B、C)、生物碱、类胡萝卜素、类黄酮、单宁、蒽醌、碳水化合物、皂苷、二萜、甾体、酚酸、β -胡萝卜素、酚类、香豆素、三萜类、精油等化合物。绿原酸、叶酸、泛酸和矿物质(钠、钙、磷、铁、钾、钠、镁)。这些化合物已通过各种提取方法从叶、块茎、树皮和花中分离得到。从药理学上看,该植物具有抗氧化、抗菌、镇静、抗炎、抗真菌、驱虫药、抗癌、抗抑郁、抗胆固醇、抗胃溃疡和肾保护作用。因此,胡萝卜可以作为草本植物的原料,从胡萝卜中分离药用化合物还需要进一步的研究。

2、胡萝卜营养和治疗的重要性-综述

植物化学分析表明,萝卜根含有生物碱、碳水化合物、绿原酸、类黄酮、酚类、精油、萜类和香豆素。胡萝卜汁的营养分析表明,胡萝卜汁中含有:蛋白质1.067±0.058%,粗脂肪0.367±0.089%,粗纤维1.167±0.153%,碳水化合物6.100±0.346%,多种维生素和矿物质。药理研究表明,该植物具有细胞毒性、抗氧化、抗糖尿病、抗菌、平滑肌松弛、降压作用和降低眼压、保胃、保肾、保肝、保心、抗抑郁、增强记忆、抗炎、生殖、创面愈合及耳部感应等多种功效。综述了胡萝卜素的化学成分、营养成分和药理作用。

3、胡萝卜亚种精油的生物活性和安全性研究进展

胡萝卜精油由于其药用特性,是该物种最有价值的副产物之一。本文对从葡萄牙马克西姆斯野生胡萝卜(D. carota subsp.)挥发油的抗真菌和抗炎活性进行了研究。

采用气相色谱法和气相色谱-质谱法对植物地上部分挥发油进行了分析。精油中α-蒎烯(22.2%)、乙酸香叶酯(16.0%)、β-红没药烯(11.5%)、α-细辛酮(9.8%)和顺式-甲基异丁香酚(8.0%)的含量较高。

对几种病原菌进行抑菌活性(MIC和MLC)测定。其抑菌活性较强,对皮肤真菌和新型隐球菌的MIC值为0.16 ~ 0.32 μL/mL。通过测量脂多糖刺激的巨噬细胞和小胶质细胞中一氧化氮(NO)的产生,我们也在外周和中枢水平评估了抗炎潜力。0.32 μL/mL挥发油可使巨噬细胞和小胶质细胞中NO的生成分别减少20.7%和35.8%。此外,利用MTT法在几种哺乳动物细胞中验证了油的安全性。

胡萝卜Maximus精油亚种的生物活性和安全浓度已被披露,支持进一步的体内研究,以开发治疗有效的补充,以管理皮肤病和/或炎症相关疾病。此外,考虑到炎症在神经退行性疾病的发展中起着关键作用,这些结果的新颖性和意义为开发一种预防或改善这些高度流行的慢性疾病的营养品奠定了一个有趣的起点。

香精与香料(135)—野胡萝卜(Daucus carota)

4、胡萝卜籽在认知功能障碍治疗中的潜在药理证据

本研究旨在研究胡萝卜籽对小鼠认知功能、血清总胆固醇水平和脑胆碱酯酶活性的影响。将胡萝卜种子乙醇提取物(DCE)分3次(100、200、400 mg/kg)口服给幼龄和老年小鼠,连续7天。高架+迷宫和被动回避装置作为测试记忆的外感受行为模型。地西泮、东莨菪碱和衰老诱发的健忘症作为内感知行为模型。DCE(200、400 mg/kg, p.o)对幼龄和老年小鼠的记忆评分均有显著改善。DCE在200 mg/kg剂量下对高架+迷宫幼龄小鼠的记忆改善率为23%,400 mg/kg剂量下为35%。同样,使用被动回避装置和老年小鼠的记忆评分也有显著改善。此外,DCE逆转东莨菪碱(0.4 mg/kg,腹腔注射)和地西泮(1mg /kg,腹腔注射)诱导的健忘症。胡萝卜提取物(200,400 mg/kg, p.o.)能显著降低幼龄和老年小鼠大脑乙酰胆碱酯酶活性和胆固醇水平。400 mg/kg DCE对幼龄和老年小鼠脑胆碱酯酶活性的抑制程度分别为22%和19%。使用该剂量的DCE后,总胆固醇水平也显著降低,幼龄动物降低23%,老年动物降低21%。因此,DCE可能被证明是一种有效的治疗认知功能障碍的药物,因为它具有多种有益的作用,如改善记忆力、降低胆固醇和抗胆碱酯酶活性。

香精与香料(135)—野胡萝卜(Daucus carota)

5、胡萝卜的治疗用途:综述

在人类历史的大部分时间里,植物一直是医学治疗的基础,这种传统医学直到今天仍被广泛使用。中草药产品在传统医学中已成为一种诱人的产品。草药产品在全世界治疗和预防人类疾病方面发挥着重要作用。草药的共同优势是有效、安全、负担得起和可接受。药用植物及其制品已被用于印度传统的医学系统,并已显示出实验或临床放射防护作用。药用植物是天然抗氧化产物的丰富来源。现代医学承认草药疗法是替代医学的一种形式,因为草药疗法的实践并不严格基于使用科学方法收集的证据。然而,现代医学确实利用许多植物源化合物作为经过验证的药物、植物疗法和植物化学工作的基础,将现代有效性测试标准应用于从天然来源提取的草药和药物。

6、胡萝卜籽乙酸乙酯萃取物对大仓鼠X-100型高脂血症小鼠的降血脂作用

本研究评价了胡萝卜种子水、乙酸乙酯分离馏分在大鼠X-100诱导高脂血症小鼠模型中的降血脂作用。40只小鼠通过单次腹腔注射新制备的大仓鼠X-100 (100 mg/kg体重)致高血脂,随机分为8组(B - I组),每组5只,分别用0.2 mL蒸馏水、辛伐他汀、AQF和EAF处理。A组为未诱导未处理小鼠,给予蒸馏水0.2 ml。AQF和EAF除2 mg/kg体重EAF外,对肝体质量无显著改善(p>0.05)。与高脂血症对照组相比,AQF和EAF治疗组小鼠总胆固醇、甘油三酯、低密度脂蛋白、致动脉粥样硬化、冠状动脉和心脏指数显著降低(p<0.05)。此外,与高脂血症对照组相比,分离提取物处理6 mg/kg体重的AQF和5 mg/kg体重的EAF中高密度脂蛋白水平显著(p<0.05)提高。结果表明,卡洛他籽AQF和EAF分离部位在大仓鼠X-100诱导的高脂血症小鼠中具有显著的降血脂活性,对预防高脂血症引起的心血管疾病有一定的作用。

7、胡萝卜籽提取物的抗炎、镇痛作用

研究了胡萝卜种子(DCE)的乙醇提取物(每次口服)为100、200和400 mg/kg体重时的抗炎和镇痛活性。为了评估炎症反应,角叉菜胶、组胺和血清素诱导的大鼠急性足水肿模型和甲醛诱导的关节炎模型分别被用作大鼠的慢性模型。采用小鼠早期和晚期乙酸诱导的扭体反应和福尔马林诱导的舔爪时间来评估小鼠的镇痛活性。高剂量的DCE(200和400 mg/kg, p.o)能成功抑制角叉菜胶、组胺和血清素诱导的足水肿以及甲醛诱导的关节炎。此外,DCE(200和400 mg/kg, p.o)显著减轻小鼠腹腔注射醋酸引起的扭体反应和足底下注射福尔马林引起的后期疼痛反应。

香精与香料(135)—野胡萝卜(Daucus carota)

8、补充胡萝卜提取物可预防实验大鼠尿石症

野胡萝卜提取物最初用于医疗目的,并逐渐作为一种食品在世界范围内使用,它已在印度阿育吠陀遗物经文中被认可,并被用于许多阿育吠陀配方作为主要成分。研究了野胡萝卜提取物对乙二醇(EG)和维生素D3诱导的大鼠尿石症的抑制作用。以200、400 mg/kg剂量对大鼠进行为期4周的抗尿石作用研究,通过测定钙、钠、钾、草酸、无机磷酸盐、肌酐、使用商业诊断试剂盒在血清和尿液中估计血尿素氮和尿酸。研究人员还评估了野胡萝卜提取物在体内的抗氧化活性,并观察了肾脏发生的组织病理学变化。野胡萝卜提取物预处理组血清和尿中钙、肌酐、草酸、血尿素和血尿素氮水平均显著降低。用试验药物治疗的动物在体重、尿量和尿pH值等物理参数方面有很大改善。肾组织病理学检查显示,与疾病对照组相比,治疗组的肾脏结构基本正常。在大鼠中研究的生化和组织病理学参数表明,野胡萝卜根提取物具有抗尿石性,这种特性是剂量依赖性的。

香精与香料(135)—野胡萝卜(Daucus carota)

9、胡萝卜根对大鼠实验性结肠炎的抗炎作用

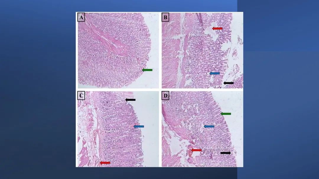
炎症性肠病(IBD)是一种病因不明、以炎症慢性自发复发为特征的慢性疾病。研究了胡萝卜水提物(AEDC)对大鼠醋酸致实验性结肠炎的抗炎作用。动物在诱导结肠炎前分别用胡萝卜(100、200和400 mg/kg, p.o)或对照物(蒸馏水,1ml)预处理7天。直肠灌注乙酸溶液2 ml (4% v/v)诱导结肠炎。直肠灌注醋酸可显著降低动物的食水摄入量和体重。它引起结肠重量、结肠宽度、结肠重长比、脾脏重量、溃疡面积、溃疡指数、结肠髓过氧化物酶(MPO)和一氧化氮增加。胡萝卜水提物(200和400 mg/kg, p.o)预处理7 d,显著(P < 0.01和P < 0.001),且剂量依赖性地降低了这些动物的摄食量和饮水量,减轻了体重。胡萝卜素水提物(200和400 mg/kg, p.o)预处理7天,可显著降低大便浓度、宏观评分、结肠重量、结肠宽度、结肠重长比、脾脏重量、溃疡面积、溃疡指数、结肠MPO和一氧化氮。它能显著减轻醋酸致溃疡性结肠炎相关的组织学改变。本研究通过抑制氧化炎症介质MPO和一氧化氮的释放,阐明了胡萝卜根水提物对醋酸致实验性结肠炎的抗炎作用。

香精与香料(135)—野胡萝卜(Daucus carota)

10、胡萝卜(Daucus carota L.):对庆大霉素诱导的大鼠肾毒性有保护作用

胡萝卜(DC)俗称胡萝卜,常作为民族药用于治疗肾病和其他泌尿系统疾病。因此,本研究旨在研究DC乙醇根提取物对庆大霉素诱导的白化病Wistar大鼠肾毒性的保护作用。腹腔注射庆大霉素(100 mg/kg/d) 8天,诱导大鼠肾毒性。将大鼠分为4组(n = 6), 1组给予生理盐水(i.p)作为对照组,2组给予庆大霉素(GM)作为庆大霉素中毒组。3-4组(DC200、dc400)在庆大霉素中毒前1 h分别以200 mg/kg和400 mg/kg (p.o) DC进行预处理。治疗后采用血清尿素、尿素氮(BUN)、尿酸和肌酐水平评价DC的肾保护作用;各实验组体重、湿肾重的变化及组织学观察。庆大霉素中毒引起的血清尿素、尿素氮、尿酸和肌酐水平升高在DC组中呈剂量依赖性降低(P < 0.01),组织学观察也证实了这一点。DC通过改善庆大霉素诱导的肾毒性,表现出显著的剂量依赖性的肾保护作用,从而验证了其民族医学用途。

香精与香料(135)—野胡萝卜(Daucus carota)

11、胡萝卜籽提取物对大鼠抗痴呆潜力的研究

野胡萝卜,俗称“胡萝卜”,属于伞形科,作为一种有用的蔬菜,几乎在世界各地都有种植。胡萝卜被广泛用作壮阳药和神经滋补剂,其刮伤的根被用作局部刺激剂,用于惰性溃疡。有鉴于此,本研究旨在探讨野胡萝卜种子对大鼠记忆的影响。将野胡萝卜种子醇提物(DCE)分3个剂量(100、200和400 mg/kg)口服给幼龄和老年大鼠,连续7天。高架+迷宫、Hebb-Williams迷宫和六边形游泳池作为测试记忆的外感受行为模型。地西泮、东莨菪碱和衰老诱发的健忘症作为内感知行为模型。DCE(200和400 mg/kg, p.o)在高架+迷宫、Hebb Williams迷宫和六角形游泳池中对幼龄和老年大鼠的记忆均有显著改善。DCE还能逆转东莨菪碱(0.4 mg/kg,腹腔注射)和地西泮(1mg /kg,腹腔注射)诱导的健忘症。这些发现表明,野胡萝卜种子似乎是一个有希望的候选物用以改善记忆,这具有值得探索的潜力,这种植物在阿尔茨海默病中将具有很强的应用前景。

香精与香料(135)—野胡萝卜(Daucus carota)

参考文献

[1] Kartika, Engla & Zulharmita, &Chandra, Boy & Rivai, Harrizul. (2021). Phytochemical and PharmacologicalReview of Carrot (Daucus carota L.). International Journal of PharmaceuticalSciences and Medicine. 6. 75-82. 10.47760/ijpsm.2021.v06i01.006.

[2] Al-Snafi, Ali. (2017). Nutritional andtherapeutic importance of Daucus carota-A review. IOSR Journal of Pharmacy2017; 7(2): 72-88. 7. 72-88. 10.9790/3013-0702017288.

[3] J. Valente, R. Resende, M. Zuzarte,M.J. Gonçalves, M.C. Lopes, C. Cavaleiro, C. Pereira, L. Salgueiro, M.T. Cruz,Bioactivity and safety profile of Daucus carota subsp. maximus essential oil,Industrial Crops and Products, 2015, 77, 218-224, https://doi.org/10.1016/j.indcrop.2015.08.037.

[4] Mani, Vasudevan & Parle, Milind.(2006). Pharmacological Evidence for the Potential of Daucus carota in theManagement of Cognitive Dysfunctions. Biological & pharmaceutical bulletin.29. 1154-61. 10.1248/bpb.29.1154.

[5] S., Satish. (2017). Therapeutic Uses ofDaucus carota: A Review. International Journal of Pharma And Chemical Research.3. 138-143.

[6] Tijjani, Habibu & Olatunde, Ahmed& DUBUDAM, SIMON & Ishola, Ahmed. (2021). ANTI-HYPERLIPIDEMICACTIVITIES OF ETHYL ACETATE PARTITIONED EXTRACT OF Daucus carota SEED IN TRITONX-100 INDUCED HYPERLIPIDEMIC MICE. 5. 298-306.

[7] Mani, Vasudevan & Gunnam, kumarkishore & Parle, Milind. (2006). Antinociceptive and Anti-Inflammatory Propertiesof Daucus carota Seeds Extract. Journal of Health Science - J HEALTH SCI. 52.598-606. 10.1248/jhs.52.598.

[8] Pullaiah, Chitikela P & K,Thyagaraju & Nelson, Vinod & Gv, Narasimha & Kumar, & Reddy, G& Rastogi, D. (2018). Supplementation of Daucus carota L. extract preventsurolithiasis in experimental rats. Indian Journal of Natural Products andResources. 9. 253-260.

[9] Patil, Mithun & Kandhare, Amit& Bhise, Sucheta. (2012). Anti-inflammatory effect of Daucus carota root onexperimental colitis in rats. International Journal of Pharmacy andPharmaceutical Sciences. 4. 337-343.

[10] Sodimbaku V, Pujari L, Mullangi R,Marri S. Carrot (Daucus carota L.): Nephroprotective against gentamicin-inducednephrotoxicity in rats. Indian Journal of Pharmacology. 2016Mar-Apr;48(2):122-127. DOI: 10.4103/0253-7613.178822. PMID: 27127313; PMCID:PMC4825426.

[11] VASUDEVAN MANI*, MILIND PARLE,KALAVATHY RAMASAMY, ABU BAKAR ABDUL MAJEED. Anti-Dementia Potential of Daucuscarota Seed Extract in Rats. Pharmacologyonline 1: 552-565 (2010).

服务热线

177-5061-9273

添加微信咨询

添加微信咨询