<small lang="nejIXlh"></small>
新闻动态
News
行业新闻

香精与香料(175)—月见草

2022年07月11日中外香料香精第一资讯浏览量:0

月见草(学名:Oenothera biennis)为柳叶菜科月见草属下的一个种,原产于北美洲的东部和中部,分布范围从纽芬兰岛西部到艾伯塔省,东南到佛罗里达州,西南到德克萨斯州,并且在其他温带和亚热带地区广泛归化,在中国黑龙江,吉林,辽宁等省已成为野生,它是本世纪发现的最重要的营养药物,可治疗多种疾病,调节血液中类脂物质 fun88乐天堂,对高胆固醇,高血脂引起的冠状动脉梗塞,粥样硬化及脑血栓等症有显著疗效。

香精与香料(175)—月见草

形态特征

属二年生草本,株高达1 乐天堂FUN88,2米,直立,多分枝。花单生叶腋,淡黄色,直径5厘米。蒴果圆柱形,种子细小。花期6~8月,果期8~9月。适应性强,对土壤要求不严,耐瘠、抗旱、耐寒。。

香精与香料(175)—月见草

基生叶倒披针形,长10~25厘米,宽2~4,5厘米,先端锐尖,基部楔形,边缘疏生不整齐的浅钝齿,侧脉每侧12~15条,两面被曲柔毛与长毛;叶柄长1,5~3厘米。茎生叶椭圆形至倒披针形,长7~20厘米,宽1~5厘米,先端锐尖至短渐尖,基部楔形,边缘每边有5~19枚稀疏钝齿,侧脉每侧6~12条,每边两面被曲柔毛与长毛,尤茎上部的叶下面与叶缘常混生有腺毛;叶柄长0~15毫米。 fun88乐天堂官网

花序穗状,不分枝,或在主序下面具次级侧生花序;苞片叶状,芽时长及花的1/2,长大后椭圆状披针形,自下向上由大变小,近无柄,长1,5~9厘米,宽0,5~2厘米,果时宿存,花蕾锥状长圆形,长1,5~2厘米,粗4~5毫米,顶端具长约3毫米的喙;花管长2,5~3,5厘米,径1~1,2毫米,黄绿色或开花时带红色,被混生的柔毛、伸展的长毛与短腺毛;花后脱落;萼片绿色,有时带红色,长圆状披针形,长1 fun88乐天堂官网是什么,8~2,2厘米,下部宽大处4~5毫米,先端骤缩成尾状,长3~4毫米,在芽时直立,彼此靠合,开放时自基部反折,但又在中部上翻,毛被同花管;花瓣黄色,稀淡黄色,宽倒卵形,长2,5~3厘米,宽2~2,8厘米,先端微凹缺;花丝近等长,长10~18毫米;花药长8~10毫米,花粉约50%发育;子房绿色,圆柱状,具4棱,长1~1,2厘米,粗1,5~2,5毫米,密被伸展长毛与短腺毛,有时混生曲柔毛;花柱长3,5~5厘米,伸出花管部分长0,7~1,5厘米;柱头围以花药。开花时花粉直接授在柱头裂片上,裂片长3~5毫米。。

蒴果锥状圆柱形,向上变狭,长2~3,5厘米,径4~5毫米,直立。绿色,毛被同子房,但渐变稀疏,具明显的棱。种子在果中呈水平状排列,暗褐色,棱形,长1~1 乐天堂fun88靠谱吗,5毫米,径0,5~1毫米,具棱角,各面具不整齐洼点。。

香精与香料(175)—月见草

月见草的花与果实. 月见草干燥阳光的栖生地. 月见草的植物形态图 fun88乐天堂. 花中的蛾子.

月见草的栽培技术

月见草庭院栽培在通风敞亮处,疏松肥沃,排水良好的沙壤土地段,表现最好 乐天堂FUN88,也可盆栽摆放阳台观赏,在静夜的月光下,阵阵幽香令人神清气爽,月见草自播能力强,经一次种植,其自播苗即可每年自生,开花不绝。

1、环境条件的要求

适应性强,耐酸耐旱,对土壤要求不严,一般中性,微碱或微酸性土,排水良好,疏松的土壤上均能生长,土壤太湿 fun88乐天堂官网,根部易得病,北方为一年生植物,准河以南为二年生植物。

2、选地整地

选疏松、排水良好的土地,深翻,晒15~20天,而后打碎耙平,做成1 fun88乐天堂官网是什么,5米宽的畦。在深翻前施圈肥或厩肥、饼肥等作基肥,然后播种或移苗栽植。。

3、繁殖

用种子繁殖,北方春季播种,淮河以南各地,秋季或春季播种育苗,播种时,土要耙细且平,种子撒在畦面上,用耙轻轻耙一下,盖上一薄层土,种子小,土不能盖厚,否则影响种子萌发生长 乐天堂fun88靠谱吗,种子播后,土壤要保持湿润,播种后10~15天左右,种子即可萌发出幼苗。

4、田间管理

幼苗在第二对真叶伸展前与杂草幼苗极相似,不能中耕除草,只有在第二对真叶展开后才能进。当长成莲座状幼苗时,可间苗定株或移植。株行距为65厘米×65厘米,植株高达30厘米时,植株周围培土,以防株高倒伏。移栽或定苗后,追施一次粪肥或尿素,促进苗期生长,初蕾时追第二次肥,以利开花、结实。

5、病虫害及防治

腐烂病罹病后,植株根部逐渐变色腐烂,叶片萎蔫干枯,后致全株枯死。防治方法:可用1%石灰水,或用50%托布津1500倍液,亦可用75%百菌清1000倍液浇灌。

6、采收与加工

月见草为无限花序,果实陆续成熟,一般花序上有一半成熟时即可采收。采收时,用枝剪或刀把花序剪(割)断,或全株拔起,晒干,用碾子压或棒高敲打,去尽果壳和杂质,放干凉处贮藏。

香精与香料(175)—月见草

月见草的化学成分与功效

月见草油中含多种脂肪酸,主要包括亚油酸(linoleic acid),γ-亚麻酸(γ-linolenic acid),油酸(oleic acid),棕榈酸(palmitic acid),硬脂酸(stearic acid),顺-6, 9,12-二十八碳-三烯酸(cis-6, 9,12-octadecatrienoic acid),顺-9,12,15-二十八碳三烯酸(cis-9, 12,15-octadecatrienoic acid)。

月见草及其油的开发与功效

月见草(Oenothera biennis L)属柳叶菜科月见草属,为1,2年或多年生草本植物,俗名山芝麻,由于夜间开花,花朵黄色,淡香幽雅,又称夜来香。其原产于墨西哥和中美洲,我国主产于东北三省,生于山区向阳坡地、林间或林缘荒地、路旁等处。月见草是具有多方面用途的药用植物,种子油可食用;花含芳香油可制浸膏;茎皮可制人造纤维;根是解热、消炎的良药;种子和根可酿酒;茎和叶有清热解毒、镇痛的功效。月见草种子含油率较高,达22.6%-30.1%,其种子油称为月见草油。月见草油中含多种不饱和脂肪酸,其中含量较高的为亚油酸,约占73.5%-81.9% ;γ-亚麻酸约占6.9%-12.6%,是植物界中罕见的、人体自身不能合成的必需营养素,具有较强的生物活性,有降脂、降糖、降血压、抗氧化、抗血栓、抗溃疡、防衰老、减肥和美容保健等多种功效。因此,关于其化学成分的研究和开发已引起国内外的广泛重视。

香精与香料(175)—月见草

月见草油化学成分的研究进展

1984年,Hudson报道了192份不同地点收获的月见草中,γ-亚麻酸的含量差异较大,最低含量2%,最高含量20%,平均值为10.4%。1985年高雅琴报道,同属六种栽培月见草种子油中含亚油酸为67.9%- 83.1%,γ-亚麻酸为微量至10.15%。1994年吴广礼等比较了大豆油和月见草油的成分,结果显示,月见草油必需脂肪酸、油酸、亚油酸和亚麻酸总和为92.48%,超过大豆油7.11%。2000年赵春芳等采用GC-MS外标法鉴定出月见草油中8种脂肪酸的实际含量,主要成分为亚油酸574.4 mg/g,软脂酸84.32 mg/g,γ-亚麻酸56.41 mg/g。

罗婧等采用超临界CO2萃取法所得月见草油所鉴定出的18个化合物,种类较多,包括醇、醛、烯、萜、烷烃及不饱和脂肪酸等化学成分,其中β-谷甾醇的含量最大,高达52.58%。其余含量较高的成分有2,4-癸二烯醛(8.01%)、柠檬醛(6.80%)、十六醛(4.33)%、十八醛(3.71%),γ-亚麻酸(3.02%)等,同时还鉴定出角鳖烯和VE这两种活性成分。而水蒸气蒸馏法提取出的月见草油所鉴定出的20个组分中有19个均为脂肪酸,以棕榈酸乙酯(41.56%)、亚油酸乙酯(30.43%)、油酸乙酯(10.98%)为主,其他还有棕榈油酸乙酯(4.04%)、棕榈酸甲酯(2.34%)、亚油酸甲酯(2.24%)、反油酸乙酯(1.29%)、油酸甲酯(1.18%)、硬脂酸乙酯(0.96%)等,脂肪酸含量高达98.33%。这表明月见草油的化学成分较复杂,两种提取方法所提取的月见草油化学成分差异很大,可见不同提取方法对月见草油的化学成分以及相对含量有较大的影响。

香精与香料(175)—月见草

水蒸气蒸馏法和超临界CO2萃取法所得月见草油的化学成分比较

有文献报道,月见草油中的主要成分为亚油酸和γ-亚麻酸,但在本研究中,采用超临界C02萃取法所得月见草油中亚油酸(0.27%)和γ-亚麻酸(3.02%)的含量较低,而水蒸气蒸馏法提取的月见草油中,γ-亚麻酸甲酯的含量也只有0.12%,这表明月见草油的化学成分及相对含量的差异可能与月见草的种类以及提取方法的不同有很大关系,还有待进一步研究。    在本研究中,超临界CO2萃取法提取的月见草油中含量最大的是β-谷甾醇,为52.58%。有研究报道,β-谷甾醇作为一种植物甾醇,具有明显降低血清胆固醇的功效,用于II型高脂血症及预防动脉粥样硬化,用它取代胆固醇作为脂质体膜材对于功能性食品具有特别意义。还有相对含量为1.44%的鳖烯,又称角鳖烯,是一种开链三萜类化合物,能提高免疫功能,增加白细胞,用于各种缺氧性疾病、心脏病、肝炎和癌症的防治。这两种活性成分均具有一定的药用和保健价值,但在月见草油的成分鉴定中均未见相关报道,有待进一步研究。随着人们的饮食理念逐渐向营养保健方向的转变,将研制开发更多的功能性保健食品以及营养保健油或营养调和油等,月见草深加工开发和利用的空间将十分广阔。

月见草的药理作用

1、月见草化学成分对生物活性的影响

月见草(Oenothera biennis L.)是柳叶菜科植物,其中以月见草最多。月见草属的一些植物具有较强的生物活性。因此,我们研究了月见草各部位(主要是叶、茎和种子)的化学成分对其生物活性的依赖性。月见草各部位的共同成分为脂肪酸、酚酸和类黄酮。相比之下,月见草种子还含有蛋白质、碳水化合物、矿物质和维生素。因此,人们认为,最有价值的生物活性化合物的来源是种子,尤其是月见草籽油。这种油主要含有脂肪醇、脂肪酸、甾醇和多酚。月见草油(EPO)中亚油酸(LA)(70-74%)和γ-亚麻酸(GLA)(8-10%)的含量极高,可能有助于人体组织的正常运作,因为它们是抗炎类化合物的前体。补充EPO可提高血浆γ-亚麻酸及其代谢产物二高-γ-亚麻酸(DGLA)的水平。这种化合物被脂氧合酶(15-LOX)氧化为15-羟基二十碳三烯酸(15-HETrE),或在环氧化酶(COX)的影响下,DGLA代谢为活性化合物系列分子1前列腺素。这些化合物具有抗炎和抗增殖的特性。此外,15-HETrE通过直接抑制5-LOX阻断花生四烯酸(AA)向白三烯A4 (LTA4)的转化。此外,γ-亚麻酸抑制炎症介质如白细胞介素1β (IL-1β)、白细胞介素6 (IL-6)和细胞因子-肿瘤坏死因子α (TNF-α)。促红细胞生长素的有益作用已被证实在特应性皮炎,银屑病,舍格伦综合症(一般俗称干燥症候群,它是一种病因尚未完全明膫的外分泌腺自体免疫疾病。外分泌腺受到淋巴球浸润后长期引起发炎),哮喘和抗癌治疗的情况下。

香精与香料(175)—月见草

亚油酸 (LA) 代谢。 9-HODE:9-羟基十八碳二烯酸; 13-HODE:13-羟基十八碳二烯酸; 15-HETrE:15-羟基二十碳三烯酸; PGE1:前列腺素 E1; PGD1:前列腺素D1; PLA2:磷脂酶 A2; PLC:磷脂酶C; 5-HPETE:5-氢过氧二十碳四烯酸; 5-HETE:5-羟基二十碳四烯酸; LTA4:白三烯A4; LTB4:白三烯B4; LTC4:白三烯C4; LTD4:白三烯D4; LTE4:白三烯E4; 15-HPETE:15-氢过氧二十碳四烯酸; 15-HETE:15-羟基二十碳四烯酸; LXA4:脂氧素 A4; LXB4:脂氧素B4; 12-HPETE:12-氢过氧二十碳四烯酸; 12-HETE:12-羟基二十碳四烯酸:PGG2:前列腺素G2; PGH2:前列腺素H2; PGI2:前列腺素 I2:PGD2:前列腺素D2; 15-d-PGJ2:15-deoxy-delta-12,14-前列腺素 J2; PGE2:前列腺素E2:PGF2:前列腺素 F2:TXA2:血栓素A2; TXB2:血栓素 B2。

2、从月见草根中分离的化合物的抗增殖和抗菌功效

月见草,俗称月见草,含有黄酮类化合物、类固醇、单宁、脂肪酸和萜类化合物,具有多种生物活性,如抗肿瘤、抗关节炎和抗炎作用。前人的研究多集中在这个植物的地上部分,以月见草根来研究相关的抗增殖或抗菌活性还未见报道。为研究从月见草根中分离得到的化合物/混合物(1-8)的抗增殖和抑菌活性,以鸟氨酸脱羧酶(ODC)和组织蛋白酶D (CATD)为靶点,研究其抗增殖活性的可能机制。化合物/混合物的抗增殖功效在选定的癌细胞株和他们可能的作用机制进行了考察。同时还研究了其对微生物(细菌和真菌)的抗菌活性。采用MTT法测定抗肿瘤细胞增殖能力。以ODC和CATD为靶点,采用体外和体内两种方法,用分光光度法研究其作用机制。采用纸片扩散法和肉汤稀释法对其抗菌效果进行了分析。结果发现,月见草甾醇B(3)和月见草甾醇A和月见草甾醇B(4)的混合物对乳腺癌、肝癌、前列腺癌和白血病细胞系以及小鼠巨噬细胞具有抑制增殖活性(IC50 8.35-49.69 μg/ml)。月见草甾醇B(3)和月见草甾醇A与月见草甾醇B(4)的混合物与琥珀酸脱氢酶表现出较强的分子相互作用,结合能分别为- 6.23和- 6.84 kcal/mol, Ki分别为27.03和9.6 μM。月见草甾醇A(1)、月见草甾醇B(3)以及月见草甾醇A和月见草甾醇B的混合物(4)均能有效抑制ODC活性,IC50值为4.65±0.35 ~ 19.06±4.16 μg/ml,且与ODC有较强的相互作用(BE-4.17~-4.46 kcal/mol)。月见草甾醇A(1)、鲸蜡基二葡萄糖苷(2)、月见草甾醇B(3)、乙酰化二羟基丙烯酮(6)和二羟基丙烯酮(7)抑制CATD活性(IC50为3.95±0.49 ~ 24.35±2.89 μg/ml)。用CATD对化合物进行体内分子相互作用分析,结果表明化合物之间存在非特异性相互作用。对生长抑制范围为6 ~ 14 mM,最低抑制浓度为125 ~ 500 μg/ml的选定微生物观察到适度的抗菌活性。月见草甾醇B(3)和乙酰化二羟基丙戊酮(6)的抑菌活性较好,MIC范围为62.50 ~ 500 μg/ml。与其他化合物相比,月见草甾醇B(3)表现出更强的抗增殖和抗菌潜力,而月见草甾醇A(1)是ODC和CATD的有效抑制剂。因此,我们建议这些体外研究结果可以进一步在体内进行生物活性、安全性评价和衍生化,以增强效力和疗效。

香精与香料(175)—月见草

3、月见草多酚提取物抑制人恶性胸膜间皮瘤细胞的侵袭特性

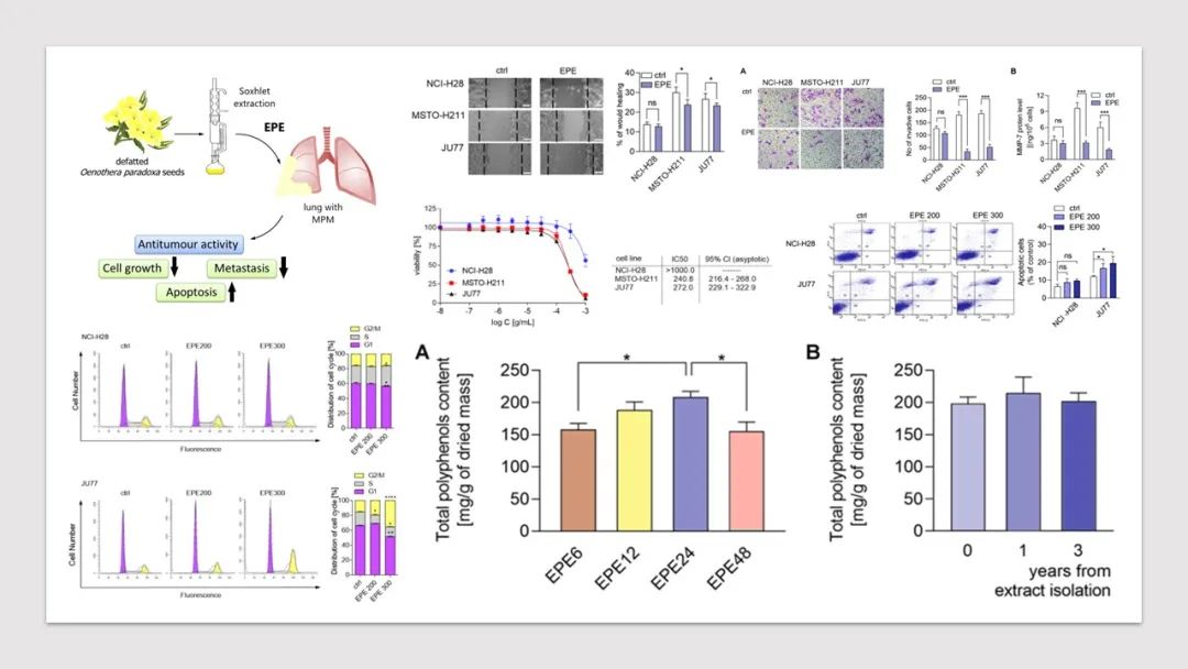
脱脂奇异月见草 (Oenothera paradoxa Hudziok) 种子的提取物是一系列稳定多酚化合物的来源,包括鞣花酸、没食子酸和儿茶素。我们的研究首次评估了月见草异丙醇提取物 (EPE) 对恶性胸膜间皮瘤 (MPM) 细胞的影响。 MPM 很少被诊断出来,它的高侵袭性和经常注意到的化学抗性限制了它的治疗方案,并且它的特点是低诊断后特征。在这里,我们证明 EPE 在具有增加的侵袭特性的细胞中以剂量依赖性方式抑制 MPM 生长。此外,EPE 处理导致 G2/M 期细胞周期停滞并增加侵袭性 MPM 细胞系的细胞凋亡。此外,EPE 强烈限制 MPM 癌细胞的侵袭和 MMP-7 分泌。我们的原始数据为 EPE 在 MPM 治疗中的潜在抗侵袭作用提供了证据。

香精与香料(175)—月见草

4、月见草的脱脂种子作为糖尿病的潜在功能性食品成分

月见草 (DSOB) 的脱脂种子是月见草油生产的副产品,目前尚未得到有效利用。在这项研究中,使用月见草 (SOB) 的种子评估了 DSOB 的 α-葡萄糖苷酶抑制、醛糖还原酶抑制、抗氧化能力、多酚成分和营养价值(碳水化合物、蛋白质、矿物质、脂肪、有机酸和生育酚)。作为参考。 DSOB 是 α-葡萄糖苷酶 (IC50 = 3.31 μg/mL) 和醛糖还原酶 (IC50 = 2.56 μg/mL) 的优良抑制剂。 DSOB 还显示出相当大的抗氧化能力(清除DPPH、ABTS、一氧化氮、过氧亚硝酸盐和羟基自由基)。液相色谱结合电喷雾电离-四极杆飞行时间-质谱分析暂时鉴定了DSOB中的25种化合物,并且与SOB相比,DSOB的碳水化合物、蛋白质和矿物质含量有所增加。含有大量的纤维和低水平的糖,并富含钙和铁。这些结果表明,DSOB可能是一种潜在的糖尿病功能性食品成分,具有良好的经济和环境效益。

香精与香料(175)—月见草

5、奇异月见草和两年生月见草地上部分种子培养后提取物的化学成分、抗氧化和抗炎活性研究

在本研究中,我们研究了从奇异月见草(Oenothera paradoxa Hudziok) 和两年生月见草(Oenothera biennis L.) 的地上部分制备的提取物的化学成分及其抗氧化和抗炎活性。超高压液相色谱 (UHPLC)-DAD-MS/MS 研究表明,两种提取物都含有多种多酚(39 种已鉴定成分),其中大环鞣花单宁是主要成分。在体外研究期间,使用非细胞模型,两种提取物都以浓度依赖性方式清除活性氧 (ROS),并且获得了 O2·– 和 H2O2 的最低 SC50 值。两种提取物都通过受刺激的人类嗜中性粒细胞抑制 ROS 的产生。在甲酰-间-亮-苯丙氨酸刺激的情况下,更强的活性表明两种提取物都可能通过受体依赖性途径起作用。奇异月见草提取物和两年生月见草提取物通过以浓度依赖性方式抑制透明质酸酶和脂氧合酶表现出抗炎活性。两年生月见草提取物对脂氧合酶的更强活性可能是由于其较高的月见草苷 B 含量。

香精与香料(175)—月见草

参考文献:

[1] Timoszuk M, Bielawska K, Skrzydlewska E. Evening Primrose (Oenothera biennis) Biological Activity Dependent on Chemical Composition. Antioxidants. 2018; 7(8):108. https://doi.org/10.3390/antiox7080108.

[2] Shilpi Singh, Vijaya Dubey, Dhananjay Kumar Singh, Kaneez Fatima, Ateeque Ahmad, Suaib Luqman. Antiproliferative and antimicrobial efficacy of the compounds isolated from the roots of Oenothera biennis L. Journal of Pharmacy and Pharmacology, 2017, 69(9): 1230-1243. Doi: 10.1111/jphp.12753.

[3] Chmielewska-Kassassir M, Sobierajska K, Ciszewski WM, Bukowiecka-Matusiak M, Szczesna D, Burzynska-Pedziwiatr I, Wiczkowski W, Wagner W, Wozniak LA. Polyphenol Extract from Evening Primrose (Oenothera paradoxa) Inhibits Invasion Properties of Human Malignant Pleural Mesothelioma Cells. Biomolecules. 2020; 10(11):1574. https://doi.org/10.3390/biom10111574

[4] Wang Z, Wu Z, Zuo G, Lim SS, Yan H. Defatted Seeds of Oenothera biennis as a Potential Functional Food Ingredient for Diabetes. Foods. 2021; 10(3):538. https://doi.org/10.3390/foods10030538

[5] Sebastian Granica, Monika E. Czerwińska, Jakub P. Piwowarski, Maria Ziaja, and Anna K. Kiss. Chemical Composition, Antioxidative and Anti-Inflammatory Activity of Extracts Prepared from Aerial Parts of Oenothera biennis L. and Oenothera paradoxa Hudziok Obtained after Seeds Cultivation. J. Agric. Food Chem. 2013, 61, 4, 801–810. https://doi.org/10.1021/jf304002h.

服务热线

177-5061-9273

添加微信咨询

添加微信咨询